In cardiac tamponade, how do transvalvular pressure gradients change during expiration?
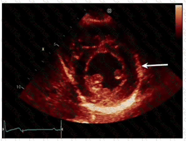
Which left ventricular regional wall segment is indicated by the arrow on this image?

When should a patient's systemic blood pressure be documented on an echocardiogram?
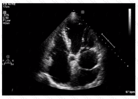
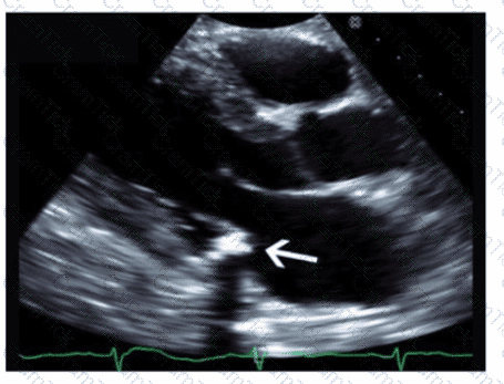
Which condition is most plausible based on the finding indicated by the arrow on this image?

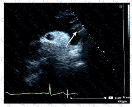
What is the incidental finding seen by color Doppler in this four-chamber view of a patient with left atrial enlargement?

Acute severe aortic regurgitation leads to a marked increase in which pressure?
Which of the following is the gold standard for assessment of coronary artery disease?
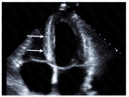
Which view best demonstrates a wall thickening abnormality of the apical lateral segment?
During which phase of the cardiac cycle does the left ventricular filling pressure equalize with left atrial pressure?
Which diagnosis is most likely confirmed by echocardiography in a 65-year-old female presenting with new onset chest pain associated with ST segment elevation on the electrocardiogram and angiographically normal coronary artenes?
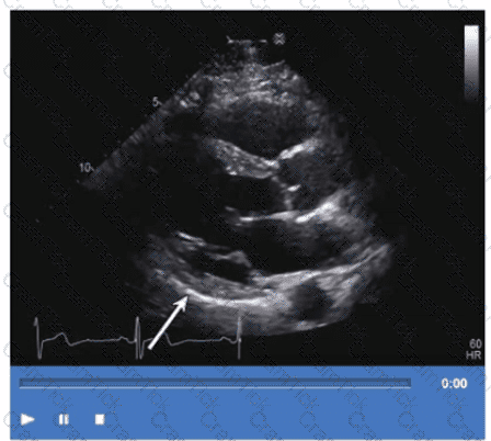
Which step is next in further evaluation of the abnormality shown in this video?

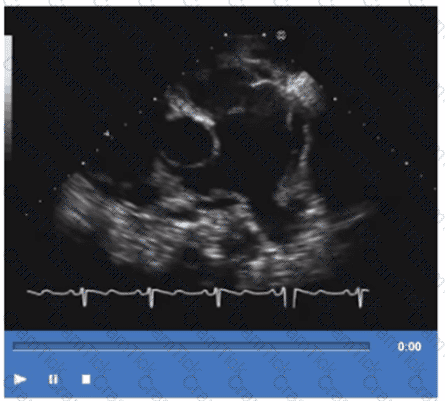
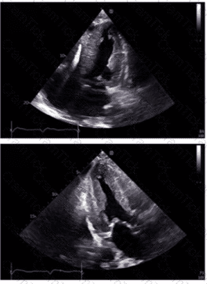
Which is the most likely abnormality represented in these images from a 48-year-old man with shortness of breath?


The respirometer should be turned on when assessing which possible disease process(es)?
RDCS |